2025年洗牙,如果你的牙有黑点,一定要去洗牙
作者: | 更新日期:
每年一度的洗牙。
本文首发于公众号:天空的代码世界,微信号:tiankonguse
不知道你有没有注意到,如果牙齿比较乱的话,或者刷牙太随意的话,牙齿缝隙里以及牙齿内侧,就会有黑色小点或者线。
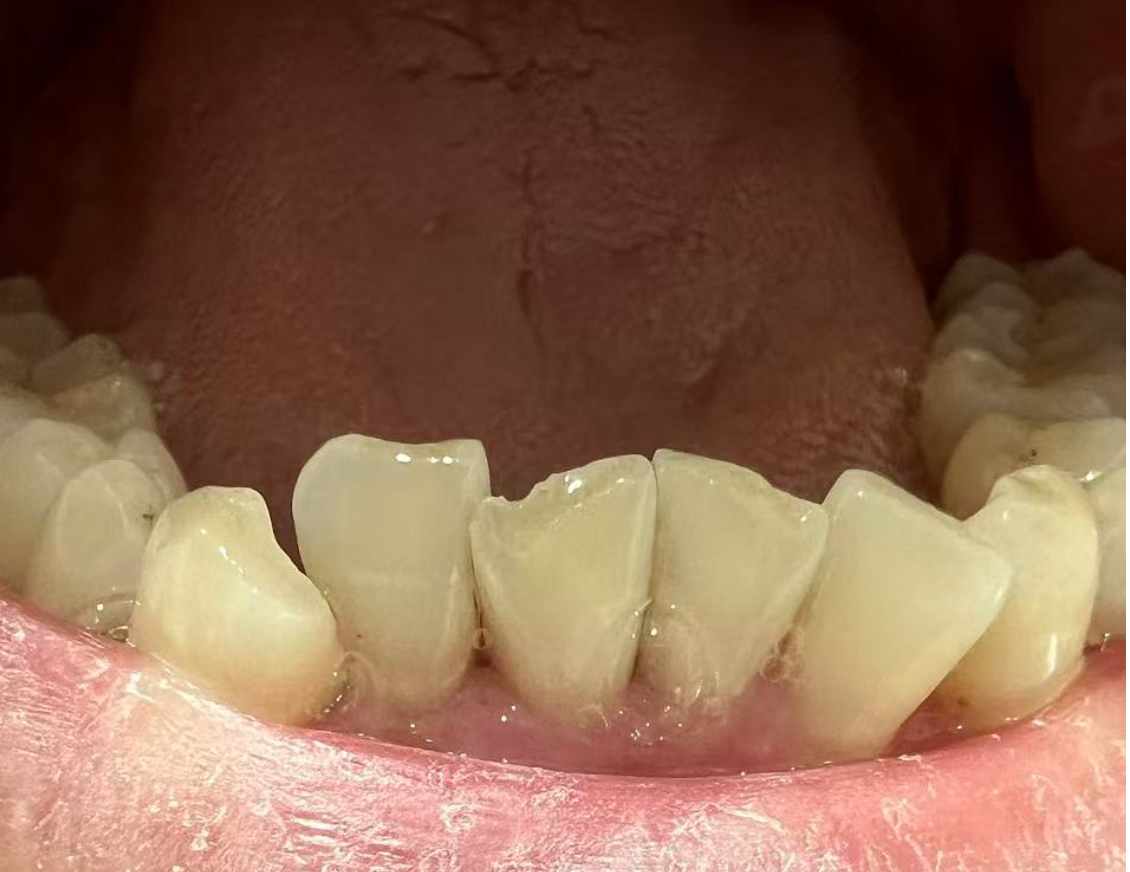
例如这是我的牙齿,牙缝里有黑色的物质,内侧的黑色物质更多。

这些其实是牙菌斑,是我们刷牙不仔细导致的。
当然,我的牙齿比较乱,牙缝里的无法刷到,这个纯靠刷牙是无法解决的。
如果我们放任这个不管,常年累月下去,就很容易得蛀牙,轻度需要补牙,中度需要根管治疗,重度需要拔牙与植牙,听说一颗牙要几千或上万块钱的。
所以 2020 年我认识到牙齿的重要性后,每年都会去洗牙。
本来今年约的 9 月某天洗牙,结果那几天来台风了,医院给我打电话让我重新找时间预约。
所以就推迟到国庆后了。
洗牙之后,牙齿就干净多了。

可以看到,我的牙齿比较乱。
所以我打算找时间研究一下牙齿矫正,即使三十多岁了,应该也不晚。
下面是我往年关于牙齿的记录。
2018 年,第一次研究了牙齿的健康问题,记录于《牙膏刷牙,刷的是什么?》。
2019 年,第一次买了电动牙刷,记录于《试用了电动牙刷》。
当时我不太习惯电动牙刷,断断续续的在电动牙刷与普通牙刷之间切换。
2020 年,我第一次去洗牙,记录于《第一次洗牙》。
由于是第一次洗牙,攒了30年的牙结石,牙结石非常多,就像很多年的烧水炉第一次清理污垢,中间漱了很多次口,吐出很多小石头。
2021 年,我第一次去拔智齿,记录于《拔智齿》和《2021年目标之拔智齿已完成》。
2021 年,年底的时候去洗牙,记录于《2021年洗牙》。
2022年10月,和老板聚餐,吃了牛肉,肉卡到牙缝里,始终弄不出来,难受了好久,于是买了小米冲牙器。 
每次吃完饭,使用冲牙器冲一下,可以冲出好多东西。
2023 年,我有天晚上吃鸡腿,不小心把一个鸡腿上的骨头咬碎了,一个小骨头咬进牙缝里去了。
冲牙器怎么冲都冲不出来,最后还是用手抠出来的。
之后赶紧买了牙线棒,以及去洗了牙,记录在《洗牙后决定买牙线棒了》。
饭后用牙线棒可以清理出很多东西,所以我一直在使用,已经离不开牙线棒了。
2024 年,6月份的时候就去洗了牙,记录在《2024年完成洗牙》。
《完》
-EOF-
本文公众号:天空的代码世界
个人微信号:tiankonguse
公众号ID:tiankonguse-code
            本文首发于公众号:天空的代码世界,微信号:tiankonguse
            
            如果你想留言,可以在微信里面关注公众号进行留言。 
        
